Hip dysplasia
![]() |
Hip dysplasia (HD) is the most common hereditary disorder of skeletal development in dogs and it is non-congenital. It commonly leads to the detrition of the articular cartilage, synovitis, and secondary osteoarthritis.
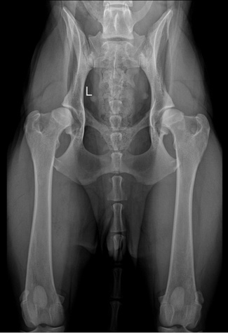
HD is usually not detectable in puppies younger than 3 months. A definite and official diagnose of HD by the Finnish Kennel Club Radiologist is only possible after the age of 12 months. In giant breeds this is only possible after the age of 18 to 24 months, depending on the breed. In Finland HD is graded from A to E using ventrodorsal extension radiographs as standardized by Fédération Cynologique Internationale (FCI).
HD is a multifactorial disease, thus its occurrence and severity depend on environmental and genetic factors. Especially obesity in dogs worsens and accelerates the development of the disease.
HD has a polygenic background, meaning there are several genes affecting its development. There have been studies trying to determine the genetic background of this disease, but the results have not yet been conclusive.
In our study we aim to identify the risk loci and gene variant(s) which contribute to HD.
We have got some promising results from our study with German shepherds and now we need more samples from affected dogs to confirm our results.
Study breeds:
German shepherd
Golden retriever
Labrador retriever
Dogs eligible for study:
We are looking for participants which are officially diagnosed with moderate HD (graded D) or severe HD (graded E). We also look for healthy controls which are graded A.
In some cases we also accept dogs with an unofficial diagnose of HD. For example, we are interested in dogs less than 12 months old, which have been evaluated to have a developing moderate or severe HD. In these cases always contact the researcher before participation.
Copies of diagnoses and other information needed:
We hope to see hip and vertebral column radiographs from all the animals participating to this study if possible.
If the dog is participating to this study with an unofficial diagnose, at least hip radiographs are required. We also hope to receive a copy of the veterinarian’s statement of the hips, if it is available.
We hope that while filling the blood sample form; please include all known skeletal defects.
Links:
Further information on participation and sending blood samples.
A sample form to be sent along with the blood samples.
An electronic form for details and updates of dog's health and owner's contact information.
More information of the project: lgl-kyselyt(at)helsinki.fi.
